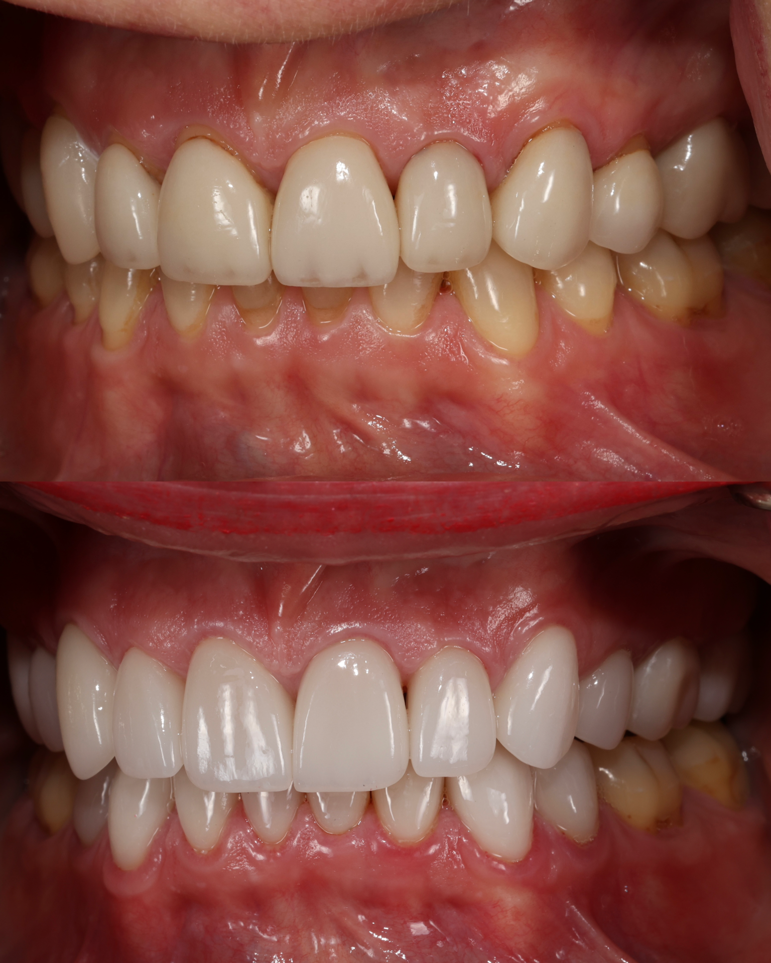
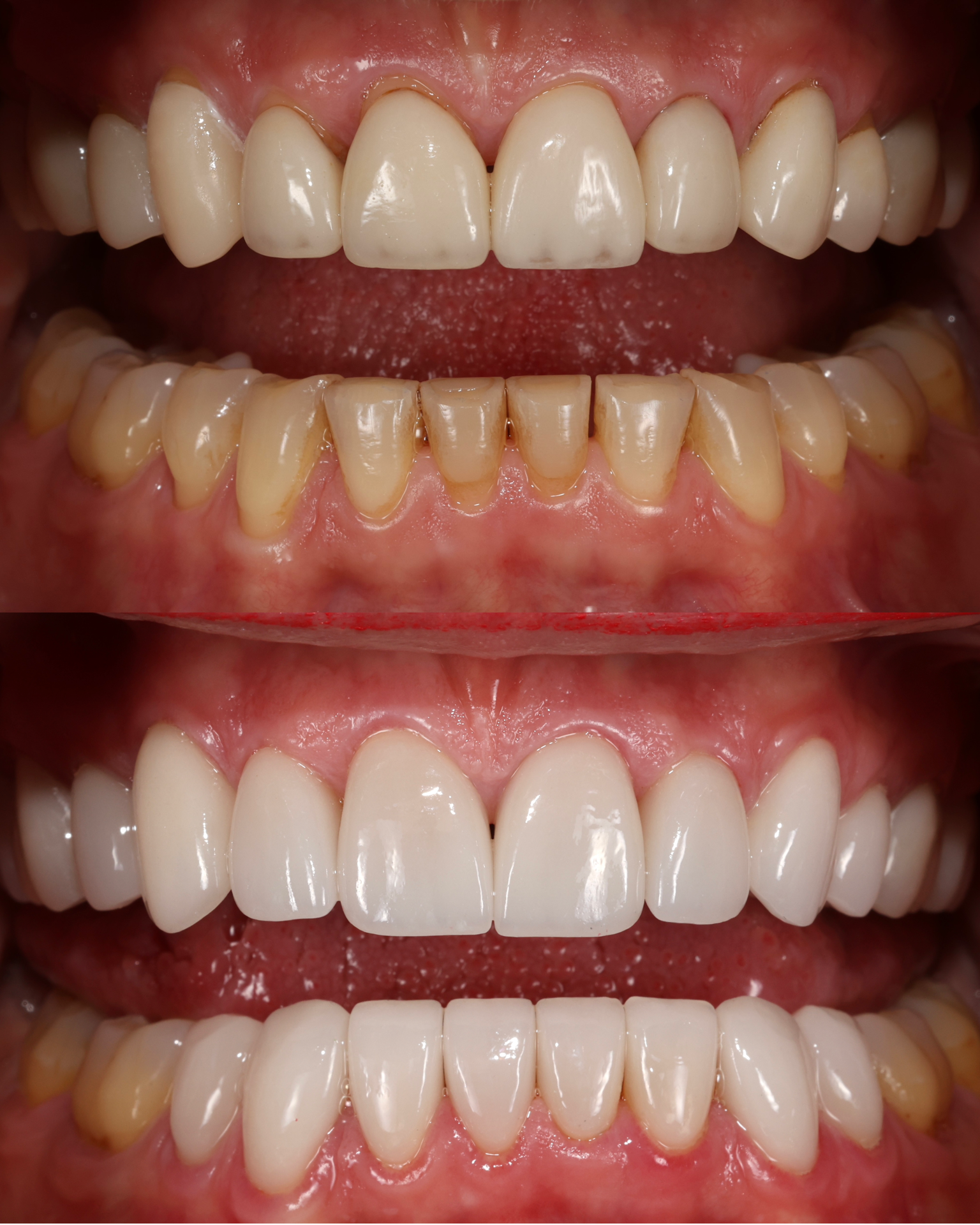
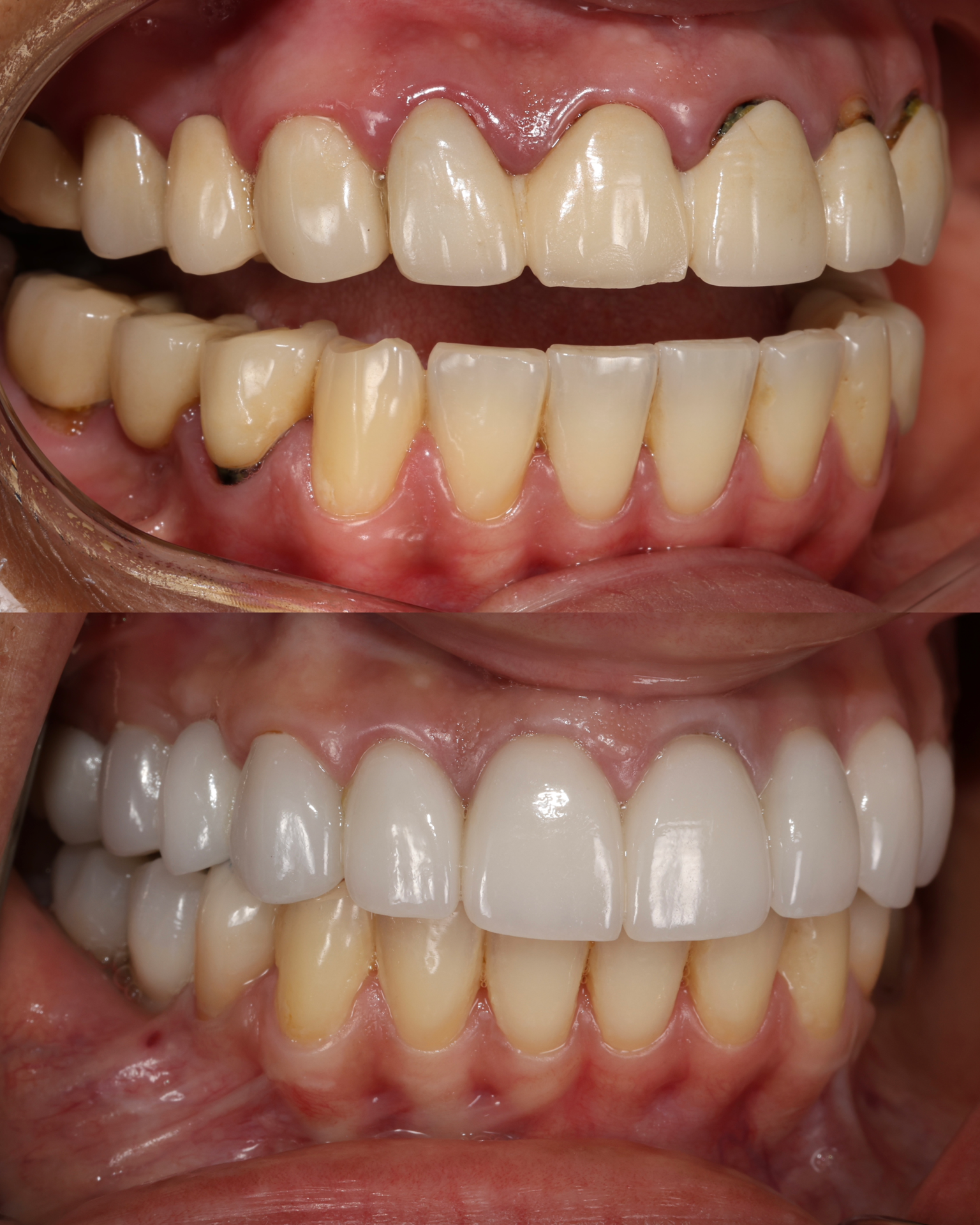
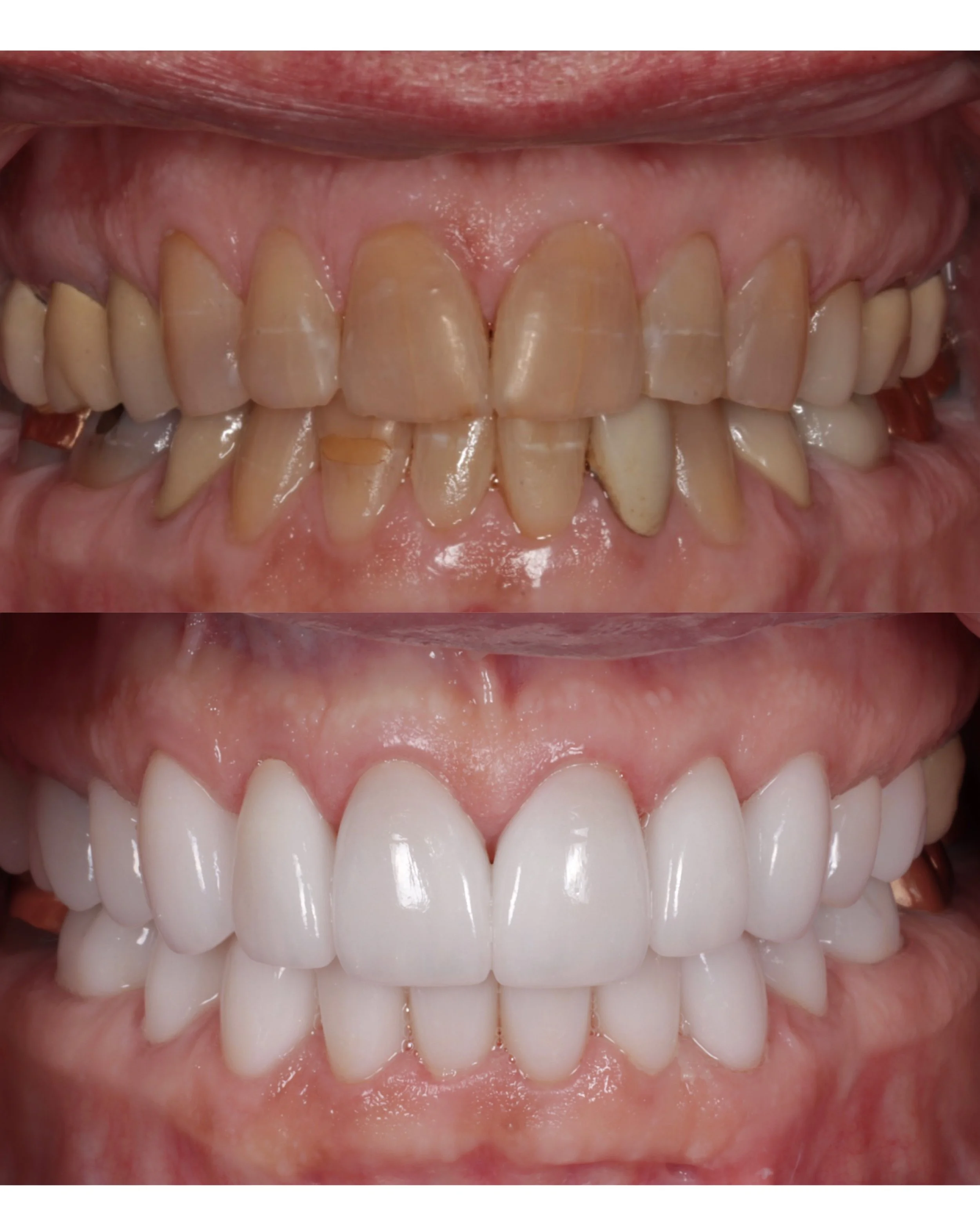
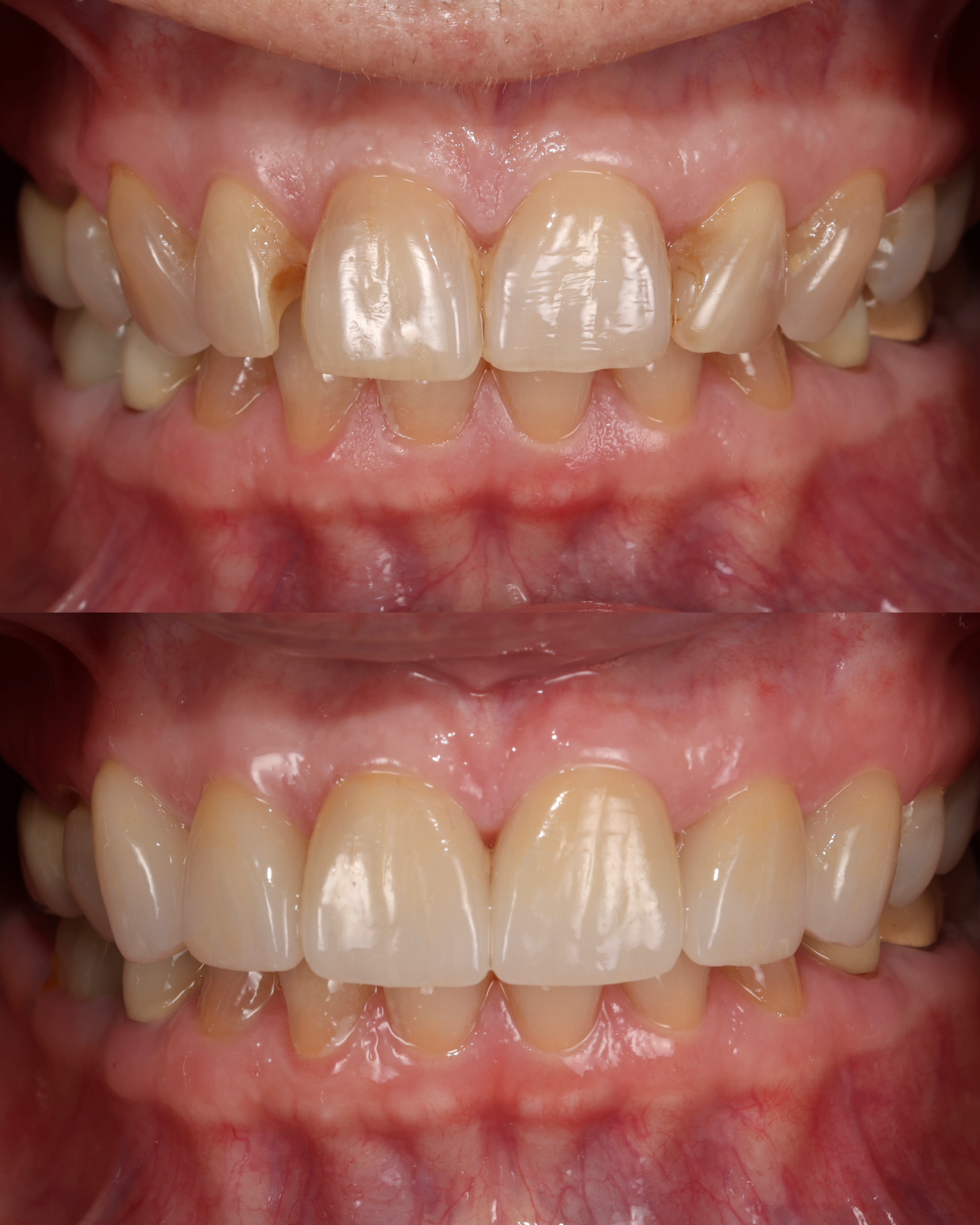
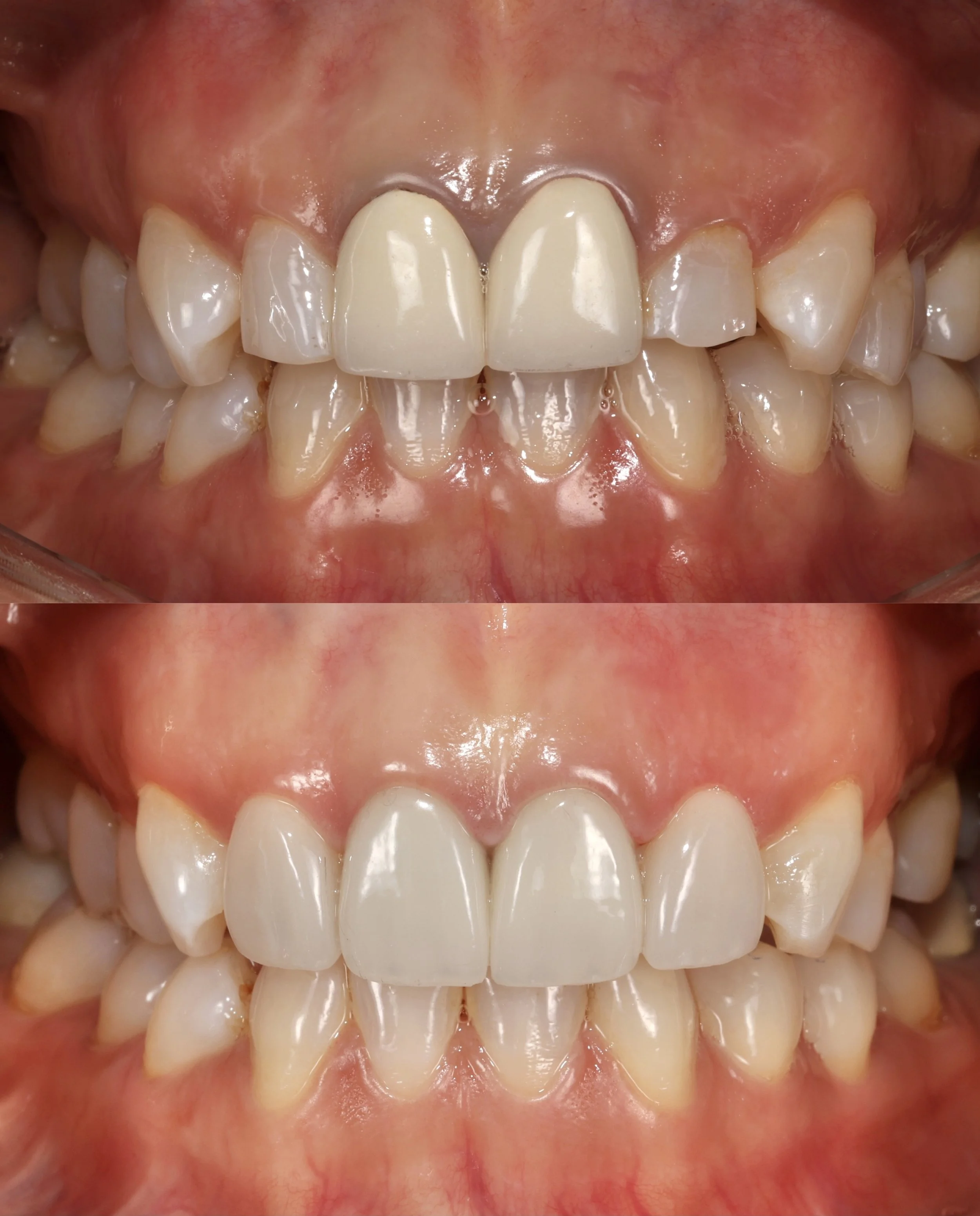
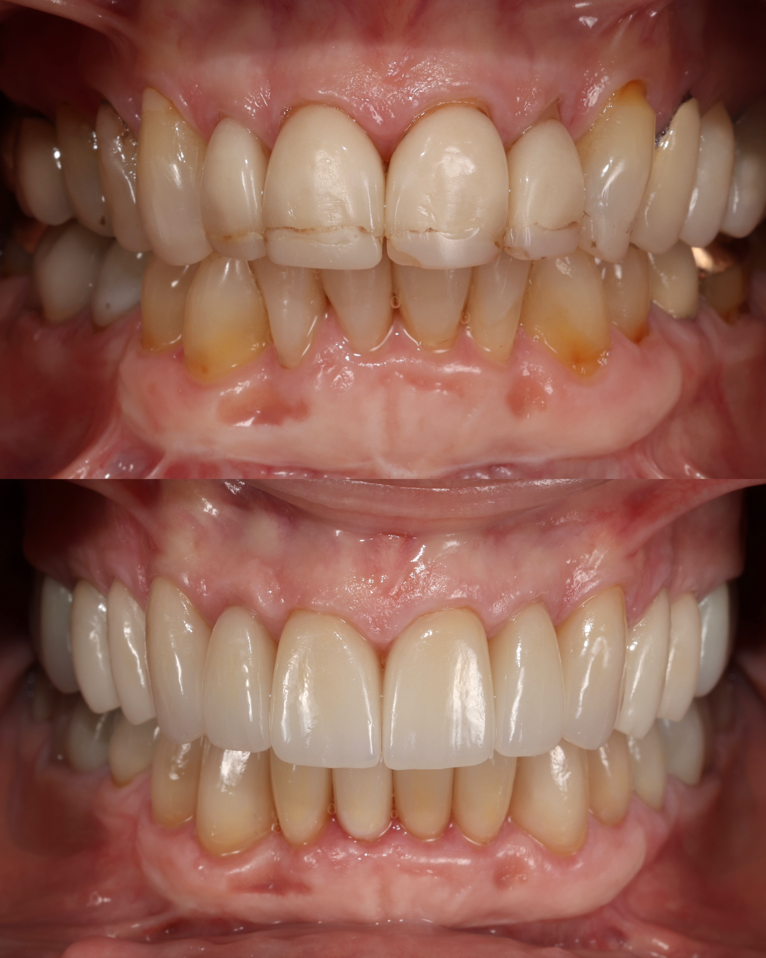
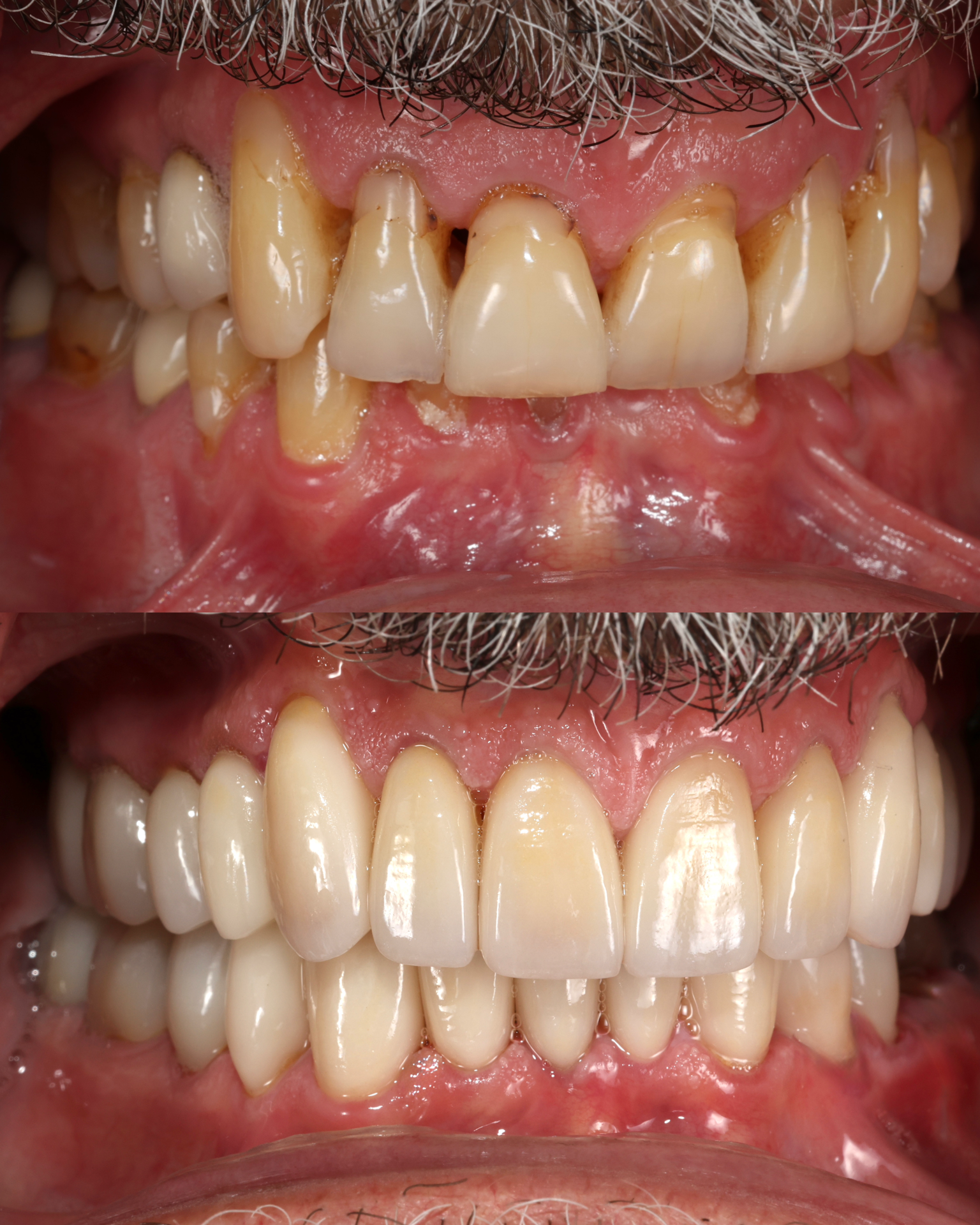
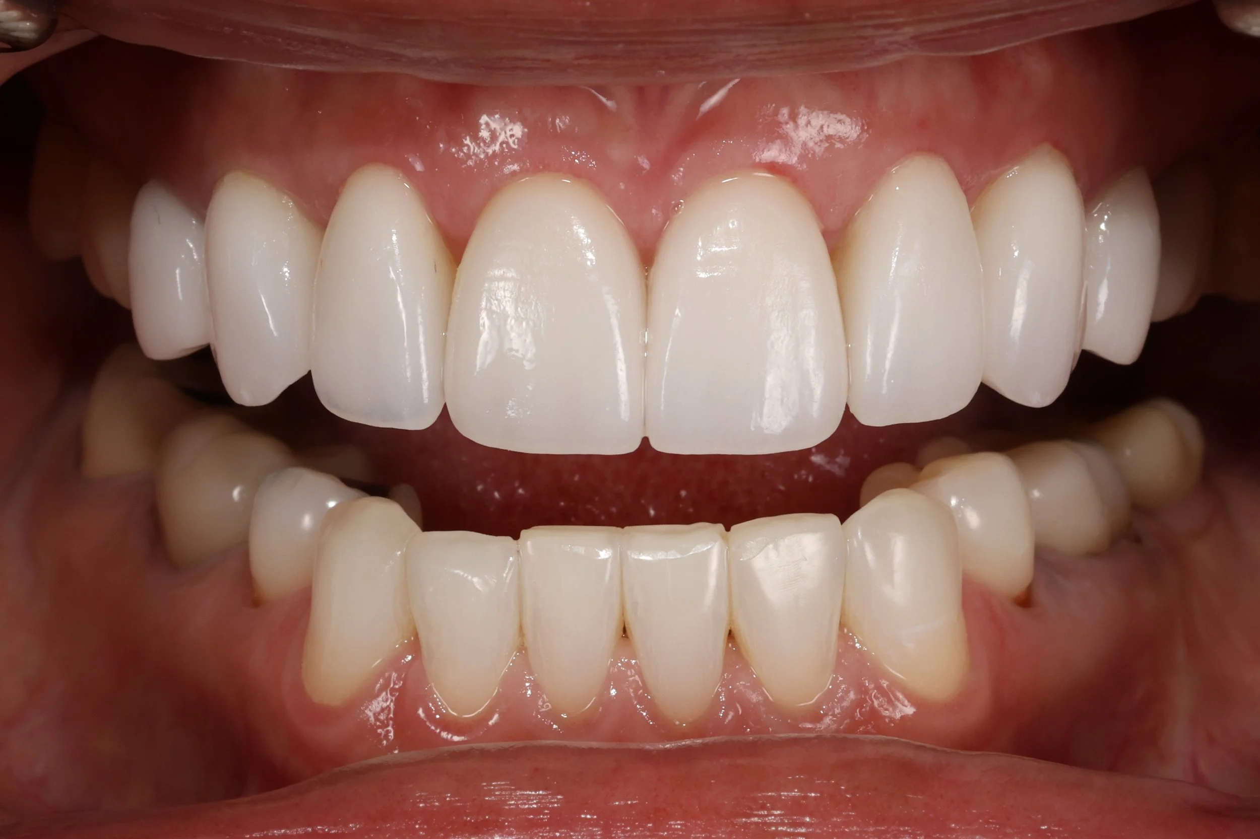
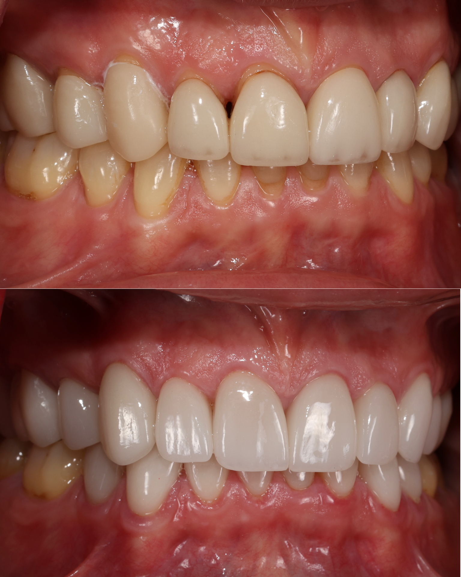
The Smile Gallery

Confidence begins with a smile designed just for you. Each transformation in this gallery reflects my commitment to precision, artistry, and timeless beauty.